Anatomicamente, a tuba uterina divide-se em quatro partes: infundíbulo, ampola, istmo e intramural. A porção medial da tuba, de calibre menor, é o istmo; a extremidade distal de cada tuba é o infundíbulo, que se abre próximo ao ovário; a porção adjacente a anterior é a ampola; a porção intramural é a parte uterina, ou seja, forma o segmento do tubo que se localiza na parede do.. As tubas uterinas, também chamadas de trompas de Falópio, são estruturas importantes do sistema reprodutor feminino, uma vez que conectam a cavidade peritoneal com a cavidade uterina. Elas fornecem um local para a fertilização e estão envolvidas no transporte do óvulo dos ovários para o corpo do útero. Neste artigo, falaremos sobre a.

The Fallopian Tubes (Uterine) Structure Function Vascular Supply

Female Reproductive Structures

Tubas uterinas qual a função delas na fertilidade e o que pode afetálas e levar à

tubas uterinas YouTube

O Que São Tubas Uterinas

Sistema Genital Feminino

O Que é Tubas Uterinas ENSINO

SISTEMA REPRODUTOR FEMININO ppt carregar

Abaixo Aparece Um Esquema De Parte Do Sistema Genital Feminino

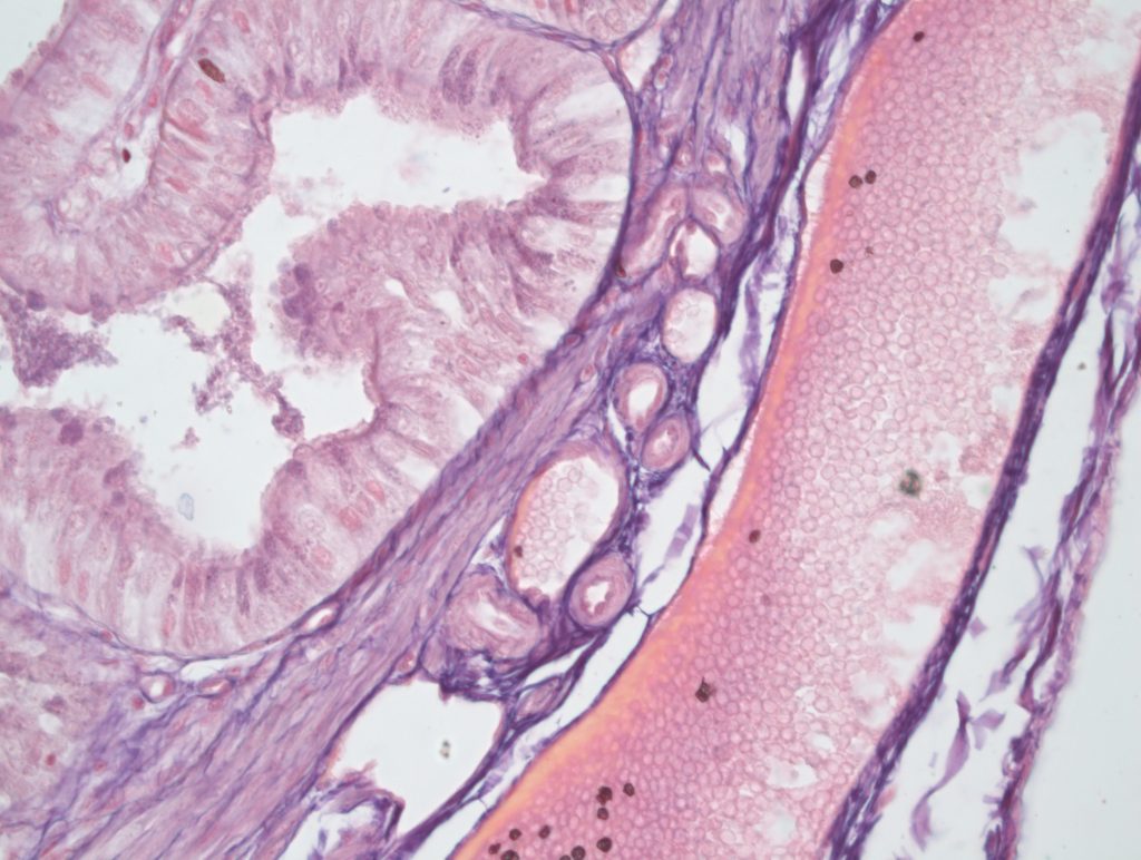
Tuba Uterina Atlas Virtual de Histologia

Tuba Uterina

Tuba Uterina Funções, Anatomia e Papel na Reprodução RPT

PPT ANATOMÍA Y FISIOLOGÍA DEL APARATO REPRODUCTOR FEMENINO PowerPoint Presentation ID791405

Gravidez Ectópica Gravidez Tubária Biologia e Reprodução InfoEscola

O Que São Tubas Uterinas

Dr Juan Alberto González Estrella

Ultrassonografia das Tubas Uterinas

Sistema Reprodutor Feminino

Anatomia Colo Do Utero MODISEDU

Atlas Histológico Online® Tuba Uterina Lâmina 39
As tubas uterinas, anteriormente chamadas de trompas de Falópio, fazem parte do sistema reprodutor feminino, juntamente com o útero, ovários , vagina e vulva. São dois tubos de cerca de 10 cm que se localizam um de cada lado do útero e conduzem os óvulos produzidos nos ovários até esse órgão. É nas tubas que ocorre a fecundação.. A salpingite é a inflamação das tubas uterinas, também conhecidas como trompas, causada principalmente pode bactérias, como a Chlamydia trachomatis e a Neisseria gonorrhoeae, além de também poder estar relacionada com a colocação do DIU ou ser consequência de cirurgia ginecológica, por exemplo. Essa situação é bastante desconfortável para a mulher, pois é comum que exista dor.